Offices in Buenos Aires City and Northern Greater Buenos Aires, Argentina angiologia.org
Complex Venous Disease and Structural Arterial Pathology

Address the underlying cause.
Restore normal hemodynamics. Commit to each patient.

Every diagnosis is approached with rigorous scientific evaluation, advanced surgical expertise, and the precise application of technology, guided by sound clinical judgment and sustained by a strong commitment to the patient throughout every stage of care.

Advanced training in high-volume academic centers in Argentina and the United States.
Specialized in complex venous disease and comprehensive management of arterial disease.

University of Michigan
University of Miami
H. Universitario Austral · UBA
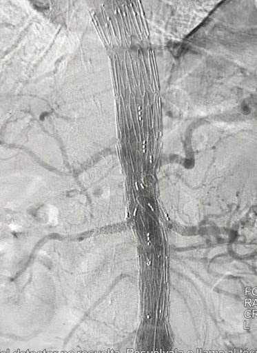
Pre-treatment: Bilateral iliac vein occlusion
Pre-treatment

Bilateral iliac vein occlusion associated with pelvic congestion syndrome.

Post-treatment: Endovascular reconstruction with stent placement
Post-treatment

Endovascular reconstruction with stent placement. Restoration of venous flow with symptom resolution.

Traditional treatment: saphenous vein
Traditional

Saphenectomy or endovenous laser/radiofrequency ablation of the great saphenous vein. Recovery may involve up to one week of limited activity.

VenaSeal: current approach
Current Approach

Post-procedural outcome following VenaSeal® closure of the great saphenous vein. Return to normal daily and work activities typically the next day.

15+Years of Experience
2U.S. Academic Medical Centers
4Leading Medical Centers in Argentina
Clinical Foundation

Precision in the Diagnosis of Complex Vascular Disease

Vascular consultation is often prompted by progressive symptoms — chronic pelvic pain, intermittent claudication, persistent edema, or non-healing ulcers — as well as by complex conditions requiring specialized interpretation, including extensive thrombosis, deep venous obstruction, and arterial aneurysms.

In this setting, the priority is not to indicate a procedure, but to define with precision the underlying anatomical and hemodynamic basis of disease.

A precise understanding of these mechanisms ultimately guides when to intervene, how to intervene, and the strategy that will lead to durable outcomes.

Vascular medical consultation Vascular medical consultation 2 Vascular medical consultation 3

Each evaluation integrates detailed clinical assessment, critical interpretation of imaging studies, and an individualized understanding of the patient's context to define a precise and appropriate therapeutic strategy.

"When the flow abnormality driving the disease is corrected, treatment shifts from symptomatic management to a targeted, mechanism-based strategy."

Therapeutic decisions are directed at correcting the underlying abnormality — venous or arterial — by selecting the most appropriate strategy based on anatomy, pathophysiology, and the best available evidence.

Complexity is not simplified; it is systematically analyzed, understood, and managed through a structured clinical approach.

Schedule an Initial Consultation
Dr. Lisandro Carnero Vidal
Profile

Professional Profile and Areas of Expertise

"Vascular and Endovascular Surgeon with expertise in complex venous disease and comprehensive arterial care, with a clinical focus on the hemodynamic and etiologic determinants of vascular disease."

My clinical approach is centered on identifying and addressing the underlying cause of vascular disease, rather than relying solely on symptom control.

Accurate diagnosis and a thorough understanding of the anatomical and functional mechanisms driving each condition form the foundation of every therapeutic decision. While technical execution is critical, treatment strategy is ultimately determined by clinical judgment rooted in a precise understanding of vascular anatomy and pathophysiology.

Expertise in complex venous disease and advanced arterial pathology is not approached in isolation but integrated within a comprehensive understanding of the vascular system.

Areas of Advanced Expertise

  • Chronic Pelvic Pain (Pelvic Venous Disorders) Advanced diagnostic evaluation and etiologic treatment aimed at identifying and correcting the venous abnormalities underlying pelvic congestion and related syndromes. Emphasizing the integration of venous insufficiency and compressive pathologies within a unified hemodynamic framework.
  • Deep Venous Reconstruction (Iliofemoral and Post-Thrombotic Disease) Specialized management of iliofemoral obstruction, post-thrombotic disease, and complex venous outflow compromise, with the goal of restoring venous return and improving functional outcomes. Guided by reconstruction of venous outflow and optimization of global hemodynamics based on individual flow patterns.
  • Deep Vein Thrombosis Comprehensive evaluation and specialized management of acute and chronic venous thrombosis, focused on restoring venous patency, preventing post-thrombotic syndrome, and preserving long-term venous function. Intervention tailored to thrombus burden, chronicity, and underlying venous pathology to optimize durable clinical outcomes.
  • Chronic Venous Insufficiency Precise hemodynamic assessment of the superficial, deep, and perforating venous systems to identify the source and hierarchy of venous reflux. Treatment with minimally invasive endovascular techniques aimed at symptom control and functional restoration. Management based on segmental hemodynamic mapping rather than isolated treatment of superficial reflux.
  • Aortic and Visceral Arterial Aneurysms Open and endovascular treatment of aortic and visceral aneurysms with individualized planning based on anatomy, clinical risk, and current evidence. Strategy tailored to aneurysm morphology and patient-specific risk to balance durability and procedural invasiveness.
  • Limb Preservation in Advanced Peripheral Arterial Disease Complex arterial revascularization for patients with critical limb ischemia, aimed at maintaining tissue viability, preserving function, and reducing amputation risk. Revascularization strategies individualized according to limb status, tissue loss, and overall vascular anatomy to maximize limb salvage.
Request a Specialist Evaluation
Work Philosophy

Three principles that guide every clinical decision

Vascular medicine demands more than technical proficiency.
It requires a rigorous conceptual framework to determine when to intervene, how to intervene, and why.
Every therapeutic decision must be grounded in deep understanding, sound clinical judgment, and professional responsibility.

01

Etiologic Diagnosis

Every vascular disorder has an underlying cause.
A treatment that fails to identify it may provide temporary symptom relief, but does not alter the mechanism driving the disease.

My approach begins with a comprehensive diagnostic process.
A precise understanding of anatomy, hemodynamic patterns, and pathophysiology is essential to explain the clinical presentation and to define the appropriate strategy.
Without an accurate diagnosis, there is no appropriate intervention.

02

Technique Tailored to the Individual Case

There is no single solution applicable to all patients.
The choice between open surgical repair and endovascular techniques depends on anatomical factors, clinical context, disease progression, and individualized therapeutic goals.

The technique must adapt to the patient — not the patient to the technique.
Surgical experience enables selection of the most appropriate approach in each scenario, prioritizing durable outcomes while avoiding unnecessary interventions.

03

Patient Education, Guidance, and Informed Decision-Making

An informed patient is an active participant in the therapeutic process.
A fundamental component of the consultation is to provide clear, structured explanations of the diagnosis, expected disease course, and available treatment options — including their benefits and potential implications.

The decision to intervene is never automatic.
It results from a careful clinical assessment, and is justified when the expected benefit reasonably outweighs the inherent risks of both the procedure and the natural history of the disease.

Decisions are made collaboratively, supported by complete information and a clear understanding of each step.

"Identify the cause, apply clinical judgment, and act only when the expected patient benefit clearly outweighs the risks."

Academic Training

Training at international referral centers in complex vascular disease

Surgical training is not defined by time alone, but by the complexity of cases managed and the level of clinical rigor under which decisions are made and complex surgical procedures are performed at scale.

My training was developed within high-volume academic centers in the United States and Argentina, where complex vascular disease is routinely encountered and clinical decision-making demands diagnostic accuracy, disciplined judgment, and technical excellence.

United States

University of Michigan

Vascular Surgery Residency at one of the leading academic centers in the United States, with extensive exposure to advanced arterial pathology and complex venous disease in a high-volume environment.

Comprehensive training in open and endovascular surgery, with a particular focus on deep venous reconstruction, iliofemoral obstruction, and post-thrombotic disease — areas that currently define a core component of my specialized clinical practice.

United States

University of Miami & Jackson Memorial Hospital

Postdoctoral training within a high-volume, high-complexity surgical environment, with full integration into the general and vascular surgery teams and active participation in the management of critically ill vascular patients.

Concurrent academic and research activity in deep vein thrombosis, critical limb ischemia, and angiogenesis, consolidating a mechanism-based understanding of vascular disease that extends beyond procedural intervention.

Argentina

Hospital Universitario Austral · Clínica La Sagrada Familia · UBA

Training in General and Cardiovascular Surgery within high-demand academic institutions in Argentina, establishing a strong foundation in clinical decision-making, surgical judgment, and operative execution.

Extensive experience in the management of aortic aneurysmal disease, including open and endovascular repair of thoracic, thoracoabdominal, and abdominal aortic pathology in high-complexity clinical scenarios.

Integration of international diagnostic and therapeutic standards into the regional healthcare environment, maintaining a structured, evidence-based approach to patient care.

"This training defines a practice centered on complex vascular disease, where durable outcomes rely on the integration of diagnostic precision, hemodynamic insight, and technical execution."

Research

Clinical Research and Vascular Innovation

Clinical practice is actively integrated with research aimed at understanding the pathophysiological mechanisms underlying vascular disease and advancing more precise diagnostic and therapeutic strategies.

During my training in the United States, I participated in research programs focused on critical limb ischemia, angiogenesis and its therapeutic modulation, and deep vein thrombosis, within high-volume academic centers characterized by a strong integration between clinical care and translational research.

I currently continue to develop clinical research focused on improving the diagnosis and management of complex venous disease, with particular emphasis on optimizing therapeutic decision-making in advanced venous pathology.

Research Focus

Deep Vein Thrombosis

Clinical research on novel strategies for venous recanalization and restoration of physiological flow.

Principal Investigator in an international clinical study evaluating sonothrombolysis (SonoVascular Inc.).

Research Focus

Pelvic Venous Disorders

Development and validation of the Left Gonadal Vein Occlusion Test to refine therapeutic decision-making in patients with Nutcracker phenomenon and pelvic venous insufficiency.

Research focused on improving patient selection for targeted embolization therapies.

Research Focus

Venous Malformations

Evaluation of cyanoacrylate (VenaSeal®) in the management of complex congenital venous malformations.

Exploration of novel structural treatment strategies in advanced venous disease.

"Clinical research is part of the same intellectual framework that guides medical practice: understanding disease mechanisms in order to treat with precision."

Ongoing academic activity includes regular participation and scientific presentations at national and international vascular and endovascular meetings, as well as active involvement in the training of residents and fellows in complex vascular and endovascular surgery. Additional contributions include teaching roles in undergraduate and postgraduate medical education related to vascular and endovascular surgery.
Advanced Training & Fellowship

Advanced training in complex vascular disease

The management of complex venous disease requires more than theoretical knowledge. It demands advanced diagnostic judgment, technical proficiency, and applied hemodynamic understanding.

Fellowship opportunities are designed for physicians seeking advanced, structured training in complex venous pathology, including deep vein thrombosis, abdominopelvic venous obstructive syndromes, post-thrombotic disease, pelvic venous disorders, and advanced chronic venous insufficiency.

Clinical rotations are also available, offering supervised hands-on participation, for physicians at different stages of training interested in expanding their experience in complex vascular disease.

Program Priorities

Diagnostic Framework

• Comprehensive diagnostic evaluation
• Structured discussion of therapeutic indications

Training is focused on developing robust analytical clinical judgment, aimed at defining the structural and hemodynamic basis of disease prior to intervention.

Program Priorities

Academic Environment

• Journal clubs and literature review conferences
• Multidisciplinary case discussions
• Strategic planning sessions for complex cases

An academic environment where evidence and research inform every clinical decision.

Program Priorities

Clinical Practice

• Supervised technical training
• Integration of anatomical and hemodynamic principles into clinical practice

Emphasis on decision-making in high-complexity scenarios, beyond technical execution alone.

"Participation is selective to ensure direct mentorship and high-level operative exposure."

Affiliations

Clinical practice within leading referral centers for complex vascular disease

Clinical practice is conducted within selected referral centers, ensuring access to the infrastructure, multidisciplinary expertise, and safety standards required for advanced vascular care.

Sanatorio Mater Dei Sanatorio
Mater Dei
FLENI FLENI
Sanatorio Adventista de Belgrano Sanatorio Adventista
de Belgrano
Nordelta Medical Center Nordelta
Medical Center
Contact

Specialized Vascular Consultation

Diagnostic evaluation and therapeutic decision-making in complex vascular disease.

Intended For

Consultations are intended for patients with complex vascular disease, physician referrals, and individuals seeking an expert second opinion to reassess prior diagnoses or treatment strategies.

Evaluation Approach

Each consultation is conducted with the objective of achieving a precise understanding of the anatomical and hemodynamic basis of the condition prior to defining an appropriate therapeutic strategy.

Initial Contact

Initial contact is conducted directly via WhatsApp, allowing for efficient coordination and appropriate clinical prioritization.

Consultation Form

Submitting the form will open WhatsApp with a pre-filled message.
A member of the team will contact you shortly to coordinate the appointment.