Consultorios en CABA y Zona Norte, Argentina angiologia.org
Enfermedad Venosa Compleja y Patología Arterial Estructural

Tratar la causa.
Corregir el flujo. Cuidar a la persona.

Cada diagnóstico requiere rigor científico, experiencia quirúrgica y tecnología adecuada. Al mismo tiempo, demanda compromiso humano, empatía y una presencia activa en cada etapa del tratamiento.

Formación nacional e internacional en centros académicos de alto volumen.
Especialista en enfermedad venosa compleja y en el abordaje integral de la patología arterial.

University of Michigan
University of Miami
H. Universitario Austral · UBA
1 / 2
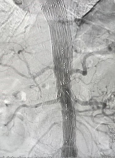
Antes: Oclusión bilateral ilíaca
Antes

Oclusión de ambas venas ilíacas/Sindrome de congestión pélvica

Después: Reconstrucción con stents
Después

Reconstrucción con stents. Flujo normalizado y resolución clínica.

Técnica convencional de safena
Tradicional

Vendaje postsafenectomía / Ablación por láser o radiofrecuencia de la vena safena interna. 1 semana de reposo en cama.

VenaSeal: técnica actual
Actualidad

Curación posintervención con dispositivo VenaSeal® a vena safena interna. Actividad física y laboral al día siguiente de la intervención.

Casos comparativos
Antes Después

Oclusión de ambas venas ilíacas/Sindrome de congestión pélvica

Reconstrucción con stents. Flujo normalizado y resolución clínica.

Tocá para ver la comparativa completa
Tradicional Actualidad

Vendaje postsafenectomía / Ablación por láser o radiofrecuencia de la vena safena interna. 1 semana de reposo en cama.

Curación posintervención con dispositivo VenaSeal® a vena safena interna. Actividad física y laboral al día siguiente de la intervención.

Tocá para ver la comparativa completa
+15Años de Trayectoria
2Centros Internacionales
4Instituciones de Alta Complejidad
El Punto de Partida

Diagnóstico preciso en enfermedad vascular compleja

La consulta vascular suele iniciarse frente a síntomas progresivos —dolor pélvico crónico, claudicación intermitente, edema persistente o úlceras refractarias— y también ante diagnósticos complejos que requieren interpretación especializada, como trombosis extensas, obstrucciones venosas profundas o aneurismas arteriales.

En estos escenarios, la prioridad no es indicar un procedimiento, sino definir con precisión la base anatómica y hemodinámica del problema.

Comprender el mecanismo que origina la enfermedad es lo que permite decidir cuándo intervenir, cómo hacerlo y con qué estrategia.

Consulta médica vascular Consulta médica vascular 2 Consulta médica vascular 3

Cada evaluación integra análisis clínico detallado, interpretación crítica de estudios por imágenes y una valoración individualizada del contexto del paciente antes de establecer una conducta terapéutica.

"Cuando se corrige la alteración del flujo que origina la enfermedad, el tratamiento deja de ser sintomático y se convierte en verdaderamente resolutivo."

El abordaje terapéutico se orienta a corregir la alteración subyacente —venosa o arterial— aplicando la estrategia más adecuada según la anatomía, la fisiopatología y la evidencia científica disponible.

La complejidad no se simplifica; se estudia, se comprende y se resuelve con método.

Agendar una primera consulta
Dr. Lisandro Carnero Vidal
Perfil Profesional

Perfil Profesional y Áreas de Especialización

"Soy cirujano vascular y endovascular especializado en enfermedad venosa compleja y en el abordaje integral de la patología arterial."

Mi práctica se fundamenta en un principio claro: la enfermedad vascular no se trata desde el síntoma, sino desde su causa.

El diagnóstico preciso y la comprensión del mecanismo anatómico y funcional que origina cada cuadro clínico son la base de toda decisión terapéutica. La técnica es importante, pero el criterio clínico es determinante.

La experiencia en enfermedad venosa profunda y patología arterial avanzada no compiten entre sí: se complementan dentro de una visión integral del sistema vascular.

Áreas de alta especialización

  • Dolor pélvico crónico de origen vascular Evaluación diagnóstica avanzada y tratamiento etiológico orientado a identificar y corregir las alteraciones venosas responsables del síndrome congestivo pélvico y sus manifestaciones clínicas.
  • Reconstrucción venosa profunda Tratamiento especializado de obstrucciones iliofemorales, secuelas postrombóticas y enfermedad venosa compleja, orientado a restaurar función y mejorar calidad de vida.
  • Trombosis venosa profunda Diagnóstico integral y tratamiento especializado de trombosis venosa profunda, orientado a restaurar el flujo venoso, prevenir secuelas postrombóticas y preservar la función del sistema venoso mediante estrategias terapéuticas avanzadas basadas en evidencia científica.
  • Insuficiencia venosa crónica Evaluación hemodinámica precisa del sistema venoso superficial, profundo y de las venas perforantes para identificar el origen del reflujo venoso responsable de las várices superficiales. Tratamiento mediante técnicas endovasculares mínimamente invasivas orientadas a resolver los síntomas y restaurar la función venosa con rápida recuperación.
  • Aneurismas arteriales Tratamiento quirúrgico y endovascular de aneurismas aórticos y viscerales con planificación individualizada basada en anatomía, riesgo clínico y evidencia científica.
  • Preservación de extremidades en enfermedad arterial avanzada Revascularización arterial compleja orientada a mantener tejido viable, preservar función y reducir el riesgo de amputación en pacientes con isquemia crítica.
Desliza para explorar
Dolor pélvico crónico de origen vascular

Evaluación diagnóstica avanzada y tratamiento etiológico orientado a identificar y corregir las alteraciones venosas responsables del síndrome congestivo pélvico y sus manifestaciones clínicas.

Reconstrucción venosa profunda

Tratamiento especializado de obstrucciones iliofemorales, secuelas postrombóticas y enfermedad venosa compleja, orientado a restaurar función y mejorar calidad de vida.

Trombosis venosa profunda

Diagnóstico integral y tratamiento especializado de trombosis venosa profunda, orientado a restaurar el flujo venoso, prevenir secuelas postrombóticas y preservar la función del sistema venoso mediante estrategias terapéuticas avanzadas basadas en evidencia científica.

Insuficiencia venosa crónica

Evaluación hemodinámica precisa del sistema venoso superficial, profundo y de las venas perforantes para identificar el origen del reflujo venoso responsable de las várices superficiales. Tratamiento mediante técnicas endovasculares mínimamente invasivas orientadas a resolver los síntomas y restaurar la función venosa con rápida recuperación.

Aneurismas arteriales

Tratamiento quirúrgico y endovascular de aneurismas aórticos y viscerales con planificación individualizada basada en anatomía, riesgo clínico y evidencia científica.

Preservación de extremidades en enfermedad arterial avanzada

Revascularización arterial compleja orientada a mantener tejido viable, preservar función y reducir el riesgo de amputación en pacientes con isquemia crítica.

Solicitar evaluación especializada
Filosofía de Trabajo

Tres principios que orientan cada decisión clínica

La medicina vascular exige algo más que habilidad técnica.
Requiere un marco conceptual sólido que permita definir cuándo intervenir, con qué estrategia y por qué.
Cada decisión terapéutica debe apoyarse en comprensión profunda, criterio clínico y responsabilidad.

01

Diagnóstico etiológico

Toda alteración vascular tiene una causa.
Un tratamiento que no la identifica puede aliviar síntomas de forma transitoria, pero no modifica el mecanismo que sostiene la enfermedad.

Mi método parte de una búsqueda diagnóstica exhaustiva. Comprender en profundidad la anatomía, el patrón hemodinámico y la fisiopatología que explican el cuadro clínico es el paso que determina la calidad del tratamiento.
Sin diagnóstico preciso, no hay intervención adecuada.

02

Técnica adecuada al caso

No existe una única solución válida para todos los pacientes.
La elección entre cirugía abierta y técnicas endovasculares depende de la anatomía, el contexto clínico, la evolución de la enfermedad y los objetivos terapéuticos individuales.

La técnica debe adaptarse al caso, no el caso a la técnica.
La experiencia quirúrgica permite seleccionar el abordaje más adecuado en cada escenario, priorizando resultados sostenibles y evitando intervenciones innecesarias.

03

Educación, acompañamiento y decisión informada

El paciente informado participa activamente en su proceso terapéutico.
Parte esencial de la consulta es explicar con claridad el diagnóstico, la evolución esperable de la enfermedad y las distintas alternativas de tratamiento, incluyendo sus beneficios y sus posibles implicancias.

La indicación de intervenir no es automática. Surge de un análisis cuidadoso del escenario clínico y se define cuando el beneficio esperado supera de manera razonable los riesgos inherentes al procedimiento y a la propia evolución de la enfermedad.

La decisión se toma de forma compartida, con información completa y comprensión real de cada paso.

Desliza para ver los 3 principios
01

Diagnóstico etiológico

Toda alteración vascular tiene una causa.
Un tratamiento que no la identifica puede aliviar síntomas de forma transitoria, pero no modifica el mecanismo que sostiene la enfermedad.

Mi método parte de una búsqueda diagnóstica exhaustiva. Comprender en profundidad la anatomía, el patrón hemodinámico y la fisiopatología que explican el cuadro clínico es el paso que determina la calidad del tratamiento.
Sin diagnóstico preciso, no hay intervención adecuada.

02

Técnica adecuada al caso

No existe una única solución válida para todos los pacientes.
La elección entre cirugía abierta y técnicas endovasculares depende de la anatomía, el contexto clínico, la evolución de la enfermedad y los objetivos terapéuticos individuales.

La técnica debe adaptarse al caso, no el caso a la técnica.
La experiencia quirúrgica permite seleccionar el abordaje más adecuado en cada escenario, priorizando resultados sostenibles y evitando intervenciones innecesarias.

03

Educación, acompañamiento y decisión informada

El paciente informado participa activamente en su proceso terapéutico.
Parte esencial de la consulta es explicar con claridad el diagnóstico, la evolución esperable de la enfermedad y las distintas alternativas de tratamiento, incluyendo sus beneficios y sus posibles implicancias.

La indicación de intervenir no es automática. Surge de un análisis cuidadoso del escenario clínico y se define cuando el beneficio esperado supera de manera razonable los riesgos inherentes al procedimiento y a la propia evolución de la enfermedad.

La decisión se toma de forma compartida, con información completa y comprensión real de cada paso.

"Entender la causa, elegir con criterio y actuar cuando el beneficio real para el paciente lo justifica."

Formación Académica

Formación en centros de referencia internacional en patología vascular compleja

La formación quirúrgica no se define sólo por los años de entrenamiento, sino por el tipo de casos que se enfrentan y el nivel de exigencia clínica en el que se desarrolla.

Mi entrenamiento se realizó en instituciones de alto volumen en Estados Unidos y Argentina, donde la patología vascular compleja es cotidiana y la toma de decisiones requiere precisión diagnóstica, criterio y dominio técnico.

Estados Unidos

University of Michigan

Residencia en Cirugía Vascular en uno de los centros académicos de referencia en Estados Unidos para el manejo de enfermedad venosa compleja y patología arterial avanzada.

Formación integral en cirugía abierta y endovascular, con especial énfasis en reconstrucción venosa profunda, obstrucciones iliofemorales y secuelas postrombóticas, áreas que hoy constituyen uno de mis principales diferenciales clínicos.

Estados Unidos

University of Miami & Jackson Memorial Hospital

Entrenamiento postdoctoral e integración al equipo de cirugía general y vascular en un hospital de alto volumen y complejidad, con participación en manejo de pacientes con patología vascular crítica.

Desarrollo de actividad académica e investigación en trombosis venosa profunda, isquemia crítica de miembros inferiores y procesos de angiogénesis, fortaleciendo una comprensión fisiopatológica profunda de la enfermedad vascular más allá del acto quirúrgico.

Argentina

Hospital Universitario Austral · Clinica La Sagrada Familia · UBA

Formación en cirugía general y cardiovascular en instituciones académicas de alta exigencia en Argentina, consolidando una base sólida en la toma de decisiones clínicas, el criterio quirúrgico y la ejecución técnica.

Amplia experiencia en el manejo de la enfermedad aneurismática aórtica, incluyendo la reparación abierta y endovascular de la aorta torácica, toracoabdominal y abdominal en escenarios clínicos de alta complejidad. Integración de estándares internacionales de diagnóstico y tratamiento al contexto del sistema de salud regional, manteniendo un enfoque estructurado y basado en la evidencia en el cuidado de los pacientes.

Desliza
Estados Unidos

University of Michigan

Residencia en Cirugía Vascular en uno de los centros académicos de referencia en Estados Unidos para el manejo de enfermedad venosa compleja y patología arterial avanzada.

Formación integral en cirugía abierta y endovascular, con especial énfasis en reconstrucción venosa profunda, obstrucciones iliofemorales y secuelas postrombóticas, áreas que hoy constituyen uno de mis principales diferenciales clínicos.

Estados Unidos

University of Miami & Jackson Memorial Hospital

Entrenamiento postdoctoral e integración al equipo de cirugía general y vascular en un hospital de alto volumen y complejidad, con participación en manejo de pacientes con patología vascular crítica.

Desarrollo de actividad académica e investigación en trombosis venosa profunda, isquemia crítica de miembros inferiores y procesos de angiogénesis, fortaleciendo una comprensión fisiopatológica profunda de la enfermedad vascular más allá del acto quirúrgico.

Argentina

Hospital Universitario Austral · Clinica La Sagrada Familia · UBA

Formación en cirugía general y cardiovascular en instituciones académicas de alta exigencia en Argentina, consolidando una base sólida en la toma de decisiones clínicas, el criterio quirúrgico y la ejecución técnica.

Amplia experiencia en el manejo de la enfermedad aneurismática aórtica, incluyendo la reparación abierta y endovascular de la aorta torácica, toracoabdominal y abdominal en escenarios clínicos de alta complejidad. Integración de estándares internacionales de diagnóstico y tratamiento al contexto del sistema de salud regional, manteniendo un enfoque estructurado y basado en la evidencia en el cuidado de los pacientes.

Investigación

Investigación clínica e innovación vascular

La práctica clínica se integra de manera activa con investigación orientada a comprender los mecanismos fisiopatológicos que sostienen la enfermedad vascular y a desarrollar estrategias diagnósticas y terapéuticas cada vez más precisas.

Durante mi formación en Estados Unidos participé en líneas de investigación centradas en isquemia crítica de miembros inferiores, angiogénesis y modulación terapéutica de la angiogénesis, así como trombosis venosa profunda, en centros académicos con alto volumen de patología vascular compleja y una estrecha integración entre investigación y práctica clínica.

Actualmente continúo desarrollando investigación clínica orientada a mejorar el diagnóstico y el tratamiento de la enfermedad venosa compleja, con especial interés en la optimización de la toma de decisiones terapéuticas en escenarios de patología venosa avanzada.

Línea de Estudio

Trombosis Venosa Profunda

Investigación clínica sobre nuevas estrategias de recanalización venosa y restauración del flujo.

Investigador Principal en estudio clínico internacional de sonotrombólisis (SonoVascular).

Línea de Estudio

Congestión Venosa Pélvica

Desarrollo y validación del Test de Oclusión de la Vena Gonadal Izquierda para optimizar la indicación terapéutica en pacientes con fenómeno de Nutcracker.

Investigación orientada a mejorar la selección de pacientes para embolización terapéutica.

Línea de Estudio

Malformaciones Venosas

Evaluación del uso de cianoacrilato (VenaSeal®) en malformaciones venosas congénitas complejas.

Exploración de nuevas alternativas terapéuticas estructurales en patología venosa compleja.

Desliza
Línea de Estudio

Trombosis Venosa Profunda

Investigación clínica sobre nuevas estrategias de recanalización venosa y restauración del flujo.

Investigador Principal en estudio clínico internacional de sonotrombólisis (SonoVascular).

Línea de Estudio

Congestión Venosa Pélvica

Desarrollo y validación del Test de Oclusión de la Vena Gonadal Izquierda para optimizar la indicación terapéutica en pacientes con fenómeno de Nutcracker.

Investigación orientada a mejorar la selección de pacientes para embolización terapéutica.

Línea de Estudio

Malformaciones Venosas

Evaluación del uso de cianoacrilato (VenaSeal®) en malformaciones venosas congénitas complejas.

Exploración de nuevas alternativas terapéuticas estructurales en patología venosa compleja.

"La investigación clínica forma parte del mismo proceso intelectual que guía la práctica médica: comprender la causa de la enfermedad para poder tratarla con precisión."

La actividad académica se complementa con asistencia regular y presentación de trabajos científicos en congresos nacionales e internacionales de cirugía vascular y endovascular. Asimismo, participo en la formación de residentes y fellows en entrenamiento en cirugía vascular y endovascular compleja y colaboro como docente invitado en actividades de formación de grado vinculadas a la cirugía vascular y endovascular.
Docencia y Fellowship

Formación para especialistas

La enfermedad venosa compleja requiere algo más que conocimiento teórico: exige criterio diagnóstico profundo, dominio técnico y comprensión hemodinámica aplicada.

Se dictan instancias de fellowship orientadas a la formación avanzada en manejo avanzado de trombosis venosa profunda, síndromes obstructivos venosos abdomino-pélvicos, secuelas postrombóticas, síndrome de congestión pélvica y manejo avanzado de la insuficiencia venosa crónica.

Asimismo, se aceptan rotaciones clínicas con participación hands-on supervisada para médicos en distintos niveles de formación interesados en ampliar su experiencia en patología vascular compleja.

Prioridad de Programa

Enfoque Diagnóstico

• Análisis diagnóstico exhaustivo
• Discusión de indicaciones terapéuticas

La formación se orienta a desarrollar un criterio clínico analítico robusto para la resolución estructural del problema antes de iniciar cualquier acción.

Prioridad de Programa

Espacios Académicos

• Ateneos de revisión bibliográfica
• Ateneos multidisciplinarios
• Ateneos de planificación estratégica de casos complejos

Un ecosistema donde la investigación y la evidencia respaldan cada movimiento quirúrgico.

Prioridad de Programa

Práctica Clínica

• Entrenamiento técnico supervisado
• Integración de fundamentos anatómicos y hemodinámicos en la práctica clínica

Toma de decisiones en escenarios de alta complejidad, más allá de la mera ejecución técnica.

Desliza
Prioridad de Programa

Enfoque Diagnóstico

• Análisis diagnóstico exhaustivo
• Discusión de indicaciones terapéuticas

La formación se orienta a desarrollar un criterio clínico analítico robusto para la resolución estructural del problema antes de iniciar cualquier acción.

Prioridad de Programa

Espacios Académicos

• Ateneos de revisión bibliográfica
• Ateneos multidisciplinarios
• Ateneos de planificación estratégica de casos complejos

Un ecosistema donde la investigación y la evidencia respaldan cada movimiento quirúrgico.

Prioridad de Programa

Práctica Clínica

• Entrenamiento técnico supervisado
• Integración de fundamentos anatómicos y hemodinámicos en la práctica clínica

Toma de decisiones en escenarios de alta complejidad, más allá de la mera ejecución técnica.

Lugares de Atención

Práctica en instituciones de alta complejidad

Las intervenciones y seguimientos se realizan en centros que garantizan los estándares técnicos y de seguridad necesarios para cada procedimiento.

Sanatorio Mater Dei Sanatorio
Mater Dei
FLENI FLENI
Sanatorio Adventista de Belgrano Sanatorio Adventista
de Belgrano
Nordelta Medical Center Nordelta
Medical Center
Contacto

Evaluación clínica especializada

Dirigido a

Consultas orientadas a pacientes con enfermedad vascular compleja, a derivaciones médicas y a quienes buscan una segunda opinión especializada para revisar diagnósticos o estrategias terapéuticas previas.

Enfoque de evaluación

Cada evaluación se realiza con el objetivo de comprender con precisión la base anatómica y hemodinámica del cuadro clínico antes de establecer una conducta terapéutica.

Primer contacto

El contacto inicial se realiza de forma directa por WhatsApp, a fin de organizar la consulta con claridad y adecuada priorización clínica.

Formulario de consulta

Al enviar se abrirá WhatsApp con el mensaje ya redactado.
Un asistente coordinará el turno a la brevedad.

Solicitar una evaluación